Have questions about dental implants? You’re not alone. We’ve answered some of the most common questions to help you feel informed, confident, and ready to take the next step toward your new smile.






Patients come to us from near and far for one reason: results. Our office is designed for comfort, efficiency, and precision—so whether you’re local or just visiting, your smile is in expert hands from day one.
View Our Locations

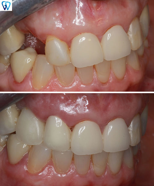
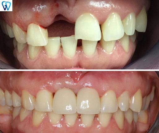
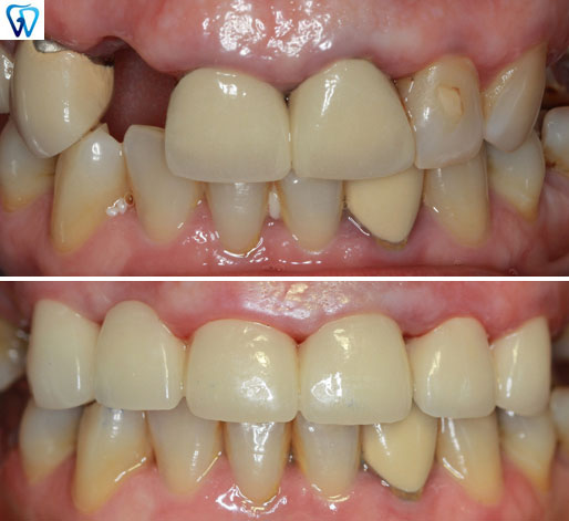
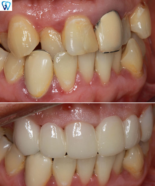
GD Dentistry is a center for general dentistry that offers premier service in dental implants and cosmetic dentistry. Dr. Murdakhayev is highly trained in full mouth restoration using dental implants and cosmetic dental techniques. We offer IV sedation for phobic patients. Consultations and the first CT scan are free.
Quick Links
Locations